小児歯科

ご自身のお口は一生涯にわたり、使っていくものです。
子供のころに、自分の口に興味をもち、正しい歯ブラシのやり方や、
食生活について学ぶ事は貴重な経験となり、大人になっても貴重な財産となるでしょう。
たとえば、お子様にむし歯があり、治療が必要な場合があるでしょう。
しかし、当クリニックでは、その治療をとてもつらいもののひとつとして経験してほしくはありません。
『子供の頃の歯医者さんでの治療が嫌な思い出で、、、』とおっしゃる方が多くいます。
本来、歯科医院というものはお口の健康を維持するために通う場所です。
子供の頃のトラウマで歯科医院へ足が遠ざかるようでは、その方の将来の口腔内の状況はどうなっていくでしょうか?
歯科医院がはじめてのお子様には、まずはできることからさせてもらい、徐々に歯科になれてもらう事を第一に考えて、お子様への治療方針とさせて頂いています。
また、はならびの無料相談、むし歯予防のための定期的なフッ素塗布も積極的に行っています。

診療用機器



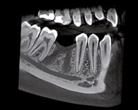
3D CT scan
直径8×高さ8㎝で160μmの高精細な画像を提供します。ORTHOPHOS XG 3Dは、たった1回のスキャンで全顎の撮影が可能で、一画面で広い診断領域を観察することができます。
日常診断の様々な診査・診断に使用することができます。
迅速な診断と低被ばくを同時に実現している装置です。

CO2 Laser
レーザーにはさまざまな効果があり、使い方も様々です。
当医院ではおおくは外科処置後の痛みの軽減や、創傷の治癒促進のため使用させて頂いてます。
治療方針として、常にできるだけ痛みや腫れを出さない処置を心がけていますが、さらなる術後の不快症状の軽減に役立ってくれています。
FEATURES OF MONDEN DENTAL CLINIC
クリニックの特徴

お口の健康管理のご提案
すべての方にこれからの
お口の健康管理について
のご案内をしています。

マイクロスコープによる治療
ほとんどの治療をマイクロスコープ
(手術用顕微鏡)を用い、
拡大視野で行っています。

丁寧な診療とわかりやすい説明
お口の中は暗いため、
見えにくい所も多いです。
日頃からていねいな診療と
わかりやすく説明することを心がけています。